واژینیت، عفونت واژن چیست؟
واژینیت به هرگونه التهاب واژن اشاره دارد. التهاب ممکن است عفونی یا غیر عفونی باشد. در زنان در تمام سنین رایج است. یک سوم از زنان در طول زندگی خود حداقل یک نوع واژینیت دارند.
هنگامی که دیواره های واژن ملتهب می شوند، به دلیل اینکه مقداری ماده محرک، تعادل ناحیه واژن را به هم می زند، ممکن است واژینیت ایجاد شود.
چه چیزی باعث واژینیت یا التهاب واژن می شود؟
باکتری ها، مخمرها، ویروس ها، مواد شیمیایی موجود در کرم ها یا اسپری ها و حتی لباس ها می توانند باعث واژینیت یعنی التهاب واژن یا عفونت واژن شوند. گاهی اوقات، عفونت از ارگانیسم هایی که بین شرکای جنسی منتقل می شوند، رخ می دهد. همچنین، تعدادی از عوامل مختلف می تواند بر سلامت واژن شما تأثیر بگذارد. اینها شامل سلامت کلی، بهداشت شخصی، داروها، هورمون ها (به ویژه استروژن) و سلامت شریک جنسی شما می شود. تغییر در هر یک از این عوامل می تواند باعث واژینیت شود
موارد زیر شایعترین انواع واژینیت هستند:
-عفونت کاندیدیایی یا "مخمر".
-واژینوز باکتریال
-واژینیت تریکومونیازیس
-واژینیت ویروسی
-واژینیت غیر عفونی
متخصص زنان شما سایر علل ترشحات واژن مانند سوزاک و کلامیدیا را در نظر می گیرد. این ارگانیسم ها واژن را مستقیماً آلوده نمی کنند. اگر درمان نشوند، می تواند منجر به شرایط جدی مانند بیماری التهابی لگن (PID) شود. PID خطر ناباروری، اسکار لگن، درد مزمن لگنی و حاملگی خارج از رحم را در زنان افزایش می دهد. کلامیدیا یکی از شایع ترین بیماری های مقاربتی ست، اگرچه اغلب تشخیص داده نمی شود.
عفونت های کاندیدیایی یا قارچی واژن چیست؟
عفونت های مخمری یا قارچی، همانطور که از نامش پیداست توسط یکی از گونه های متعدد قارچ معروف به کاندیدا آلبیکانس ایجاد می شود. معمولاً این قارچ در حالت طبیعی در تعداد کمی در واژن بانوان زندگی می کند. کاندیدا همچنین می تواند در دهان و دستگاه گوارش در مردان و زنان وجود داشته باشد.
مخمر معمولاً در واژن وجود دارد و به خوبی متعادل است. عفونت زمانی رخ می دهد که چیزی این تعادل طبیعی را به هم بزند. به عنوان مثال، مصرف آنتی بیوتیک برای درمان عفونت دیگری ممکن است این تعادل را بر هم بزند. در این حالت، آنتی بیوتیک باکتری هایی را که به طور معمول از مخمر موجود در واژن محافظت و متعادل می کنند، می کشد. و در نتیجه مخمر بیش از حد رشد می کند و باعث عفونت قارچی واژن می شود. سایر عواملی که می توانند باعث عدم تعادل شوند عبارتند از: ضعف سیستم ایمنی، بارداری و دیابت.
علائم عفونت قارچی واژن چیست؟
موارد زیر شایع ترین علائم عفونت کاندیدیا هستند:
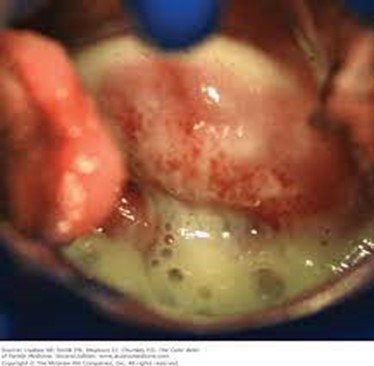
-ترشحات غلیظ، سفید رنگ و شبیه پنیر دلمه ایی واژینال که آبکی و معمولاً بی بو است
-خارش و قرمزی فرج و واژن
-درد همراه با ادرار یا رابطه جنسی
علائم عفونت کاندیدیای واژن ممکن است شبیه سایر شرایط یا مشکلات پزشکی باشد. برای تشخیص همیشه باید توسط پزشک متخصص زنان (دکتر زنان) معاینه شوید.
چه کسانی در معرض خطر عفونت های قارچی هستند؟
هر زنی ممکن است به عفونت قارچی مبتلا شود. اما در برخی شرایط ممکن است در معرض خطر بیشتری باشد اگر:
-یک دوره اخیر آنتی بیوتیک مصرف کرده باشد
-باردار باشد
-دیابت کنترل نشده داشته باشد
-مبتلا به HIV باشد
-داروی سرکوب کننده سیستم ایمنی مصرف کند
-از داروهای ضد بارداری با استروژن بالا استفاده کند
-تحت درمان با کورتیکواستروئید است که سیستم ایمنی را ضعیف می کند
چگونه عفونت قارچی یا مخمری تشخیص داده می شود؟
متخصص زنان سابقه پزشکی شما را بررسی می کند و یک معاینه فیزیکی و لگنی انجام می دهد. گاهی حتی ممکن است لازم باشد ترشحات واژن زیر میکروسکوپ بررسی شود.
درمان عفونت قارچی چگونه است؟
درمان کاندیدا ممکن است شامل موارد زیر باشد:
-کرم ها و شیاف های ضد قارچ واژینال
-قرص واژینال
-داروهای ضد قارچ خوراکی
واژینوز باکتریایی چیست؟
واژینوز باکتریایی شایع ترین علت ترشحات واژن در زنان در سنین باروری است. این به دلیل عدم تعادل باکتری ها است. با واژینوز باکتریایی، تغییری در نوع باکتریهایی که در واژن رشد میکنند، ایجاد میشود.
علائم واژینوز باکتریایی چیست؟
موارد زیر شایع ترین علائم واژینوز باکتریایی هستند:
ترشحات همگن و رقیق در مواقعی با بویی شبیه"ماهی"
علائم واژینوز باکتریایی ممکن است شبیه سایر شرایط باشد. برای تشخیص همیشه با پزشک متخصص زنان خود مشورت کنید.
درمان واژینوز باکتریایی چیست؟
واژینوز باکتریایی توسط باکتری ایجاد می شود. بنابراین، به طور کلی با آنتی بیوتیک درمان می شود.
عفونت تریکوموناس چیست؟
تریکوموناس، یک عفونت مقاربتی است. این بیماری توسط یک انگل تک سلولی به نام تریکوموناس واژینالیس ایجاد می شود که در حین رابطه جنسی بین زوجین منتقل می شود. از آنجایی که اکثر مردان علائم تریکومونیازیس را ندارند، عفونت اغلب تا زمانی که زن علائم واژینیت را بروز ندهد، تشخیص داده نمی شود.
علائم تریکومونیازیس چیست؟
موارد زیر شایع ترین علائم تریکومونیازیس هستند:
-ترشحات کف آلود، اغلب با بوی کپک زدگی، با رنگ سبز مایل به زرد
-خارش یا سوزش در داخل و اطراف واژن و فرج
-تورم یا قرمزی در دهانه واژن
-خونریزی خفیف به خصوص بعد از رابطه جنسی
-سوزش در هنگام ادرار
-ناراحتی در قسمت پایین شکم
-درد هنگام رابطه جنسی
برخی از زنان مبتلا به تریکومونیازیس هیچ علامتی ندارند. علائم تریکومونیازیس ممکن است شبیه سایر شرایط یا مشکلات پزشکی باشد. برای تشخیص همیشه باید توسط پزشک متخصص زنان معاینه شوید.
درمان تریکومونیازیس چیست؟
هر دو زوجین باید برای تریکومونیازیس درمان شوند تا از عفونت مجدد جلوگیری شود. درمان به طور کلی شامل مصرف آنتی بیوتیک های خوراکی است. اگر یک زن بیش از یک شریک جنسی داشته باشد، هر یک از شرکا (و هر یک از شرکای دیگر آنها) نیز باید تحت درمان قرار گیرند.
واژینیت ویروسی چیست؟
ویروس ها یکی از علل شایع واژینیت هستند که بیشتر آنها از طریق تماس جنسی منتقل می شوند. یکی از انواع ویروس هایی که باعث واژینیت ویروسی می شود، ویروس هرپس سیمپلکس (HSV) یا به سادگی تبخال است. علامت اصلی درد در ناحیه تناسلی همراه با ضایعات و زخم است. این زخم ها به طور کلی روی فرج یا واژن قابل مشاهده هستند، اما ممکن است در طول معاینه لگن در داخل واژن پیدا شوند. اغلب اوقات استرس یا موقعیت های عاطفی می تواند عاملی برای شروع شیوع تبخال باشد
منبع دیگر واژینیت ویروسی ویروس پاپیلومای انسانی (HPV) یا زگیل تناسلی ست، ویروسی که بیشتر از طریق تماس جنسی منتقل می شود. اچ پی وی عامل اصلی سرطان دهانه رحم در زنان است. این ویروس همچنین باعث رشد زگیل های دردناک در واژن، راست روده، فرج یا کشاله ران می شود. با این حال، زگیل های قابل مشاهده همیشه وجود ندارند، در این صورت، ویروس زگیل به طور کلی با آزمایش HPV که با آزمایش پاپ اسمیر انجام می شود، شناسایی می شود.
واکسن های زگیل تناسلی یا اچ پی وی یعنی گارداسیل و پاپیلوگارد در پیشگیری از عفونت توسط سویه های خاص HPV که باعث اکثر سرطان های دهانه رحم می شوند، موثر هستند. این واکسن در برابر زگیل تناسلی و همچنین پیشگیری برخی از سرطان های فرج، واژن و مقعد موثر است.
واژینیت غیر عفونی چیست؟
واژینیت غیر عفونی یا التهاب واژن معمولاً به تحریک واژن بدون وجود عفونت اشاره دارد. اغلب، این امر به دلیل واکنش آلرژیک یا تحریک ناشی از اسپریهای واژینال، دوشها یا محصولات اسپرمکش ایجاد میشود. همچنین ممکن است به دلیل حساسیت به صابون های معطر، شوینده ها یا نرم کننده های پارچه باشد.
شکل دیگری از واژینیت غیر عفونی، به نام واژینیت آتروفیک، معمولاً از کاهش هورمونها به دلیل یائسگی، برداشتن تخمدانها با جراحی، پرتودرمانی یا حتی پس از زایمان ناشی میشود، بهویژه در زنان شیرده. کمبود استروژن بافت واژن را خشک و نازک می کند و همچنین ممکن است باعث لکه بینی شود.
علائم واژینیت غیر عفونی چیست؟
موارد زیر شایع ترین علائم التهاب واژن غیر عفونی هستند:
-خارش واژن
-سوزش واژن
-ترشحات واژن
-درد لگن (به ویژه در هنگام رابطه جنسی)
علائم واژینیت غیر عفونی ممکن است شبیه سایر شرایط یا مشکلات پزشکی باشد. برای تشخیص همیشه با پزشک متخصص زنان خود (دکتر زنان) مشورت کنید.
درمان واژینیت غیر عفونی و واژینیت آتروفی چیست؟
درمان واژینیت غیر عفونی تا حد زیادی به علت آن بستگی دارد. اگر علت واکنش به یک محرک باشد، باید از تحریک کننده اجتناب شود.
در صورتیکه التهاب واژن ناشی از کاهش استروژن باشد یعنی واژینیت آتروفیک باشد از کرمهای موضعی استروژنی تحت نظر پزشک زنان استفاده می شود.
